
Procedure: MRI of the brain was performed at tesla
Findings:
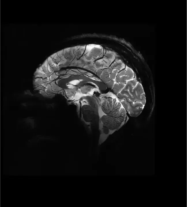
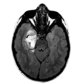
Ventricles: Normal in size and configuration without evidence of hydrocephalus.
Bones: Calvarium and skull base show normal bone marrow signal, no destructive lesions
IMPRESSION: No acute intracranial abnormality.
Natoe AI Copilot streamlines radiology workflows by combining AI-driven image analysis with intelligent case management, enabling faster, more accurate report generation within a single, unified platform.

Radiology Business recognized Herukh Shahani, Co-founder of Natoe AI, as part of its Forty Under 40 - Class of 2025, honoring emerging leaders shaping the future of radiology.

Copilot brings AI radiology capabilities to all imaging modalities, ensuring consistent and efficient analysis.





Copilot helps diagnostic centers solve pressing problems such as long waiting time for radiology reports, improving patient outcomes.
Radiologists can leverage Copilot to create reports quickly and efficiently, streamlining their daily workflow.


Proven Outcomes Driving Efficiency, Accuracy, and Reduced Workload

With HIPAA-compliance and full FDA-approval, the platform ensures patient data security and safety.
Approved
Certified
Compliant





"Since integrating Natoe AI Copilot, we've eliminated repetitive reporting errors and streamlined our operations remarkably. Our radiologists appreciate the smoother,..."
Join us to discover how AI-driven automation can eliminate workflow bottlenecks, simplify reporting, and boost...
Explore practical strategies for managing radiology cases effortlessly using Natoe AI Copilot's integrated chat,...