
X-Ray Reading Services
AI Detection in Seconds
X-Ray Reads in Under 15 Minutes
Imaging centers cannot wait hours for a signed X-ray report. Our AI-first workflow routes, analyzes, and reports X-ray studies faster than any other teleradiology model.
X-Ray Acquired & Auto-Routed
Direct PACS push
The moment your X-ray system completes acquisition, the study is pushed to Natoe AI via PACS integration — no tech involvement, no manual send.
Priority engine
Studies are automatically flagged by urgency level and jump the queue over routine scheduled reads.
AI Detection in Seconds
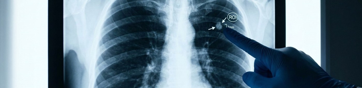
Chest X-ray AI
Our FDA-cleared chest X-ray AI scans for pneumothorax, pleural effusion, consolidation, pulmonary nodules, and cardiomegaly — in under 10 seconds.
Bone and extremity AI
Fracture detection AI reviews extremity and spine X-rays, highlighting potential fracture lines and alignment issues for the radiologist to confirm.
Signed Report Back to You
Radiologist reviews AI findings
A board-certified radiologist reviews the AI output and the original images, confirms or corrects findings, and signs the report — all within minutes.
Critical finding call
Pneumothorax, tension PTX, or other critical chest X-ray findings trigger an immediate phone call to your clinical team before the report hits the PACS.
X-Ray Reading, Driven by AI
Key metrics across independent imaging center partners
X-Ray Coverage That Keeps Up
